
Cảnh báo bệnh não mô cầu ở trẻ: Dễ nhầm cảm cúm, nguy cơ tử vong cao 0
Trẻ mắc não mô cầu khả năng tử vong cao nếu không được điều trị kịp thời, dù có bảo vệ được tính mạng thì nguy cơ để lại di chứng cũng rất cao.

Trẻ mắc não mô cầu khả năng tử vong cao nếu không được điều trị kịp thời, dù có bảo vệ được tính mạng thì nguy cơ để lại di chứng cũng rất cao.

Bộ Y tế đang lấy ý kiến dự thảo Nghị định hướng dẫn thi hành Luật Dân số, trong đó đề xuất hỗ trợ tài chính phát triển mô hình chăm sóc người cao tuổi.

Từng quen cảnh chờ khám hàng giờ, nhiều người bệnh nay bất ngờ khi đi khám bệnh tại viện công chỉ mất hơn một giờ nhờ cải tiến quy trình và ứng dụng công nghệ.

Bệnh viện Việt Đức vừa thực hiện thành công ca ghép gan Domino đầu tiên tại Việt Nam khi một bệnh nhân vừa nhận tim gan chết não, vừa hiến ngay gan mình cứu người khác.
Hà Nội dự kiến nâng cấp 5 bệnh viện thành tuyến cuối, phát triển kỹ thuật chuyên sâu, giảm tải cho tuyến Trung ương và nâng chất lượng chăm sóc sức khỏe người dân.
Chỉ trong một ngày khám, bác sĩ phát hiện 3 ca ung thư tuyến tiền liệt với những hoàn cảnh khác nhau, bác sĩ cảnh báo nguy cơ bỏ sót bệnh nếu chủ quan.

Nam thanh niên chịu cơn đau âm ỉ vùng thái dương suốt nhiều năm, đến khi đi khám mới phát hiện dị vật là đầu bút bi găm trong xương từ thời nhỏ.

Bệnh nhân tại Đơn vị ghép tế bào gốc, khoa Huyết học, Bệnh viện Chợ Rẫy, điều trị bệnh trong phòng cách ly, mọi hoạt động đều khép kín, không ánh sáng mặt trời.

Bộ Y tế đang lấy ý kiến dự thảo Nghị định hướng dẫn thi hành Luật Dân số, trong đó đề xuất hỗ trợ tài chính phát triển mô hình chăm sóc người cao tuổi.

Từng quen cảnh chờ khám hàng giờ, nhiều người bệnh nay bất ngờ khi đi khám bệnh tại viện công chỉ mất hơn một giờ nhờ cải tiến quy trình và ứng dụng công nghệ.

Bệnh viện Việt Đức vừa thực hiện thành công ca ghép gan Domino đầu tiên tại Việt Nam khi một bệnh nhân vừa nhận tim gan chết não, vừa hiến ngay gan mình cứu người khác.
Hà Nội dự kiến nâng cấp 5 bệnh viện thành tuyến cuối, phát triển kỹ thuật chuyên sâu, giảm tải cho tuyến Trung ương và nâng chất lượng chăm sóc sức khỏe người dân.
Chỉ trong một ngày khám, bác sĩ phát hiện 3 ca ung thư tuyến tiền liệt với những hoàn cảnh khác nhau, bác sĩ cảnh báo nguy cơ bỏ sót bệnh nếu chủ quan.

Nam thanh niên chịu cơn đau âm ỉ vùng thái dương suốt nhiều năm, đến khi đi khám mới phát hiện dị vật là đầu bút bi găm trong xương từ thời nhỏ.

Bệnh nhân tại Đơn vị ghép tế bào gốc, khoa Huyết học, Bệnh viện Chợ Rẫy, điều trị bệnh trong phòng cách ly, mọi hoạt động đều khép kín, không ánh sáng mặt trời.
Người bệnh đặt lịch khám tại Bạch Mai cần đặc biệt lưu ý, bệnh viện không yêu cầu chuyển khoản khám trước.

Bệnh viện E vừa triển khai thành công thay khớp gối bằng robot CORI giúp bệnh nhân hồi phục, đi lại chỉ sau 24 giờ với chi phí rẻ hơn 5 lần so với ra nước ngoài.

Phát hiện người đàn ông có dấu hiệu đột quỵ, bác sĩ lập tức ép tim liên tục, giúp người bệnh hồi tỉnh trước khi được chuyển viện.

Ngày 18/3, Trạm Y tế hữu nghị Việt - Trung được khởi công xây dựng tại xã Hải Sơn, tỉnh Quảng Ninh với sự tham dự của Bộ trưởng Quốc phòng Việt Nam và Trung Quốc.

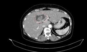
Bệnh nhân 59 tuổi nhập viện vì vàng da, ngứa kéo dài, được phát hiện đồng thời ung thư đại tràng phải và ung thư đường mật trong gan.

Ngày 17/3, Bệnh viện Nhân dân 115 phẫu thuật vi phẫu cứu 4 ngón tay bị đứt lìa hoàn toàn cho nam bệnh nhân gặp tai nạn máy cắt giấy.

Trên đường đi công tác, bác sĩ Nguyễn Huy Tiến dừng xe giữa phố, quỳ xuống ép tim cho thanh niên tím tái, giành lại nhịp thở trong vài phút.

Hành động cấp cứu kịp thời của một bác sĩ Hà Nội giúp nạn nhân ngừng tuần hoàn thoát cửa tử, được Sở Y tế khen thưởng đột xuất.

Du khách 59 tuổi đột quỵ khi đang du lịch ở Côn Đảo, y bác sĩ tuyến đảo lập tức truyền thuốc tiêu sợi huyết và chuyển người bệnh về đất liền bằng chuyến trực thăng.

Nhờ 5 lọ thuốc giải độc Botulinum hiếm do Tổ chức Y tế Thế giới (WHO) tài trợ khẩn cấp, mỗi lọ khoảng 8.000 USD, 3 bệnh nhi Đà Nẵng bị ngộ độc đã qua cơn nguy kịch.
Chính phủ dự kiến điều chỉnh lương cơ sở tăng 8%, mức đóng bảo hiểm y tế cũng thay đổi do mức đóng hiện được tính bằng 4,5% lương cơ sở.
Cô gái 29 tuổi ở Hà Nội bất ngờ sốt cao tới 40°C kèm rét run, đau lưng; kết quả xét nghiệm sau đó phát hiện nhiễm khuẩn tiết niệu do liên cầu khuẩn nhóm B.

Qua thăm khám dưới kính hiển vi, bác sĩ phát hiện nhiều rận mu và trứng rận bám dọc theo lông mi bệnh nhân, buộc phải tiến hành loại bỏ và điều trị kịp thời.

Phụ nữ sinh con thuộc một số nhóm có thể được hỗ trợ tài chính 2 triệu đồng, theo dự thảo nghị định hướng dẫn thi hành Luật Dân số 2025.

Nội dung này nằm trong quy hoạch Tổng thể Thủ đô Hà Nội tầm nhìn 100 năm, đang được UBND TP Hà Nội lấy ý kiến rộng rãi.

Bác sĩ Nguyễn Huy Tiến ép tim liên tục 2–3 phút ngay trên đường Nguyễn Chí Thanh, giúp thanh niên ngừng tuần hoàn sau tai nạn giao thông dần hồi tỉnh.

Chất lượng khám chữa bệnh tại Việt Nam ngày càng tiệm cận chuẩn quốc tế, trong khi chi phí ở nhiều dịch vụ vẫn thấp hơn nhiều nước, trong đó có Mỹ.

Xạ đen là thảo dược tốt cho sức khỏe, nhưng uống nước xạ đen hàng ngày có tốt không, có gây tác dụng phụ không là điều nhiều người băn khoăn.

Nhiều bệnh nhân đang phải điều trị bệnh tại Bệnh viện E (Hà Nội) xúc động khi được cầm trên tay lá phiếu cử tri để thực hiện quyền và nghĩa vụ công dân ngay tại giường bệnh.
Dự kiến, sẽ có ba nhóm chính phải thực hiện tiêm chủng bắt buộc nhằm nâng cao hiệu quả phòng bệnh, bảo vệ sức khỏe cộng đồng.

Đi khám sau 2 tuần liên tục đau đầu âm ỉ, mệt mỏi, nữ bệnh nhân ở Hà Nội phát hiện mắc áp xe não trái nên cần nhập viện điều trị.
Dự thảo nghị định hướng dẫn thực hiện Luật Phòng bệnh lần đầu quy định cơ chế bồi thường cho người gặp tai biến nặng sau tiêm chủng bắt buộc.

Các bác sĩ TP.HCM chạy đua cứu bé trai hơn 1 ngày tuổi bị vàng da nặng do bất đồng nhóm máu ABO kết hợp Rh hiếm. Sau thay máu, điều trị tích cực, trẻ dần hồi phục.